YokoHama Research, Inc.  株式会社 横浜総合研究所


技術紹介>医用画像処理

 医療分野では、高額な医療機器には非常に高度な画像処理技術が適用されていますが、必ずしも一般に広く使われているというわけではありません。
 弊社では同様な技術を、PC上で手軽にご提供することが可能です。

(1)三次元再構成

 いわゆるデジタル・トモシンセシス(Tomosynthesis)と呼ばれ
る、部分的な投影画像による任意断層面や3次元画像の再構成
技術であり、Flat Panel Detector(FPD) の出現により、
近年注目されている技術です。

 弊社では、Image Intensifier(I.I.)の歪補正や、軌道面
変換などの技術により、既存のX線撮影装置の改造で、容易に
再構成システムを実現することが出来ます。

 下図は、三次元的な解像度評価用チャートモデル(数値ファ
ントム)を使った、再構成シミュレーションです。
 高さの異なる平行面にサイズや吸収係数の異なる球体を格子
状に配置したもので、投影画像(通常のレントゲン撮影に相
当)では各層が入り混じり、読影が難しいことが分かります。
 本技術により、複数方向の投影画像を撮影することで、任意
の高さの断層画像を再構成することができ、判読が容易になります。

■他の適用分野 : 部品、基板などの3次元計測、立体検査


(2)非線形照合

 撮影日時の異なる画像を、体の動き、成長、その他の変動要因を考慮した非線形照合技術
により、関心領域の抽出や患部の変化を確実に捕捉します。

 右図は、血管造影剤の注入前後の2枚の画像の差分処理による血管画像の合成例ですが、
体動(骨や臓器の動き)による非線形な歪を補正する本技術が使われています。


■他の適応分野 :
  ・指紋照合、静脈認証等のバイオメトリクス、
  ・手書き文字、手書き図形等の認識
  ・バラツキや伸縮性のある製品検査(印刷物、フレキ基板、シート等)
     
                                                                 Digital Subtraction Angiography

(3)画像診断支援

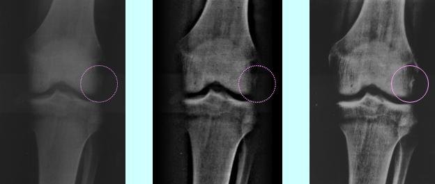
 レントゲン、CT、MRI、超音波、PET等の医用画像に結像した病巣を強調するためには、従来の線形的な
フィルタでは難しい場合があります。

 弊社では、病巣毎に特有な
   画像特徴量に反応する選択的な非線形フィルタを、ファジィ技術を用いて連続性を保ちながら作用
させることにより、各種の病巣を自然に浮き立たせ、診断を支援いたします。

    .
              原画像                   線形フィルタ                 非線形フィルタ

先頭に戻る